Wybór odpowiednich implantów zębowych to kluczowy krok w procesie przywracania uśmiechu oraz funkcji żucia. Warto zwrócić uwagę na opinie pacjentów, którzy przeszli przez ten proces, aby lepiej zrozumieć, jakie są ich doświadczenia oraz jakie kliniki oferują najlepsze usługi. Wiele osób decyduje się na implanty ze względu na ich trwałość oraz naturalny wygląd. Opinie często wskazują na to, że implanty są znacznie bardziej komfortowe w porównaniu do tradycyjnych protez. Ważne jest także, aby zwrócić uwagę na doświadczenie lekarza stomatologa oraz jakość materiałów używanych do produkcji implantów. Często pacjenci podkreślają znaczenie konsultacji przed zabiegiem, które pozwalają na dokładne omówienie oczekiwań oraz możliwości. Rekomendacje znajomych lub rodziny mogą być również pomocne w wyborze odpowiedniej kliniki, a także warto poszukać informacji w internecie, gdzie można znaleźć wiele recenzji i opinii na temat różnych specjalistów.
Jakie są najczęstsze pytania o implanty zębowe?
Decydując się na implanty zębowe, wiele osób ma szereg pytań dotyczących samego zabiegu, procesu gojenia oraz kosztów związanych z leczeniem. Jednym z najczęściej zadawanych pytań jest to, jak długo trwa cały proces od wszczepienia implantu do momentu założenia korony. Zazwyczaj trwa to kilka miesięcy, ponieważ konieczne jest zapewnienie odpowiedniego gojenia się kości wokół implantu. Inne pytanie dotyczy bólu związanego z zabiegiem; wiele osób obawia się dyskomfortu, jednak nowoczesne techniki znieczulenia sprawiają, że sam zabieg jest zazwyczaj bezbolesny. Kolejnym istotnym zagadnieniem jest cena implantów; koszty mogą się znacznie różnić w zależności od kliniki oraz używanych materiałów. Pacjenci często zastanawiają się także nad tym, jakie są przeciwwskazania do wykonania zabiegu; niektóre schorzenia mogą wpłynąć na możliwość wszczepienia implantu.
Gdzie szukać najlepszych opinii o implantach zębowych?

W dzisiejszych czasach dostęp do informacji jest niezwykle łatwy, co sprawia, że znalezienie rzetelnych opinii o implantach zębowych nie stanowi większego problemu. Internet oferuje wiele platform, na których pacjenci dzielą się swoimi doświadczeniami związanymi z leczeniem stomatologicznym. Portale medyczne oraz fora dyskusyjne to doskonałe miejsca do poszukiwania informacji na temat konkretnych klinik i lekarzy specjalizujących się w implantologii. Warto również zwrócić uwagę na media społecznościowe, gdzie często można znaleźć grupy wsparcia dla osób po zabiegach stomatologicznych; tam pacjenci chętnie dzielą się swoimi historiami oraz rekomendacjami. Kolejnym źródłem informacji mogą być strony internetowe klinik stomatologicznych, które często publikują opinie swoich pacjentów oraz studia przypadków dotyczące przeprowadzonych zabiegów.
Jakie są zalety i wady stosowania implantów zębowych?
Implanty zębowe mają wiele zalet, które przyciągają pacjentów szukających skutecznych rozwiązań dla brakujących zębów. Przede wszystkim zapewniają one trwałość i stabilność; dobrze osadzone implanty mogą służyć przez wiele lat, a nawet całe życie przy odpowiedniej pielęgnacji. Dodatkowo wyglądają bardzo naturalnie i pozwalają na swobodne jedzenie oraz mówienie bez obaw o ich przesuwanie się czy wypadanie. Implanty pomagają również zachować strukturę kości szczęki, co jest istotne dla ogólnego zdrowia jamy ustnej. Niemniej jednak istnieją także pewne wady związane z ich stosowaniem. Koszt zabiegu może być znaczny i nie każdy może sobie na niego pozwolić; dodatkowo proces gojenia może być długi i wymaga cierpliwości ze strony pacjenta. Istnieją także przeciwwskazania zdrowotne do wykonania zabiegu, takie jak choroby serca czy cukrzyca, które mogą wpłynąć na powodzenie całego procesu.
Jakie są najnowsze technologie w implantologii stomatologicznej?
W ostatnich latach implantologia stomatologiczna znacznie się rozwinęła, co pozwoliło na wprowadzenie innowacyjnych technologii, które poprawiają efektywność oraz komfort zabiegów. Jednym z najważniejszych osiągnięć jest zastosowanie technologii cyfrowej w planowaniu zabiegów. Dzięki skanowaniu 3D oraz programom komputerowym lekarze mogą precyzyjnie zaplanować miejsce wszczepienia implantu, co minimalizuje ryzyko powikłań i zwiększa szanse na sukces całego procesu. Kolejnym nowoczesnym rozwiązaniem jest wykorzystanie materiałów biokompatybilnych, które lepiej integrują się z tkankami kostnymi pacjenta. Takie materiały zmniejszają ryzyko odrzucenia implantu przez organizm oraz przyspieszają proces gojenia. Warto również wspomnieć o technice All-on-4, która pozwala na wszczepienie całej protezy na zaledwie czterech implantach; to rozwiązanie jest szczególnie korzystne dla osób, które straciły większość zębów. Dodatkowo, coraz częściej stosuje się laserowe metody leczenia, które zmniejszają ból i czas rekonwalescencji po zabiegu.
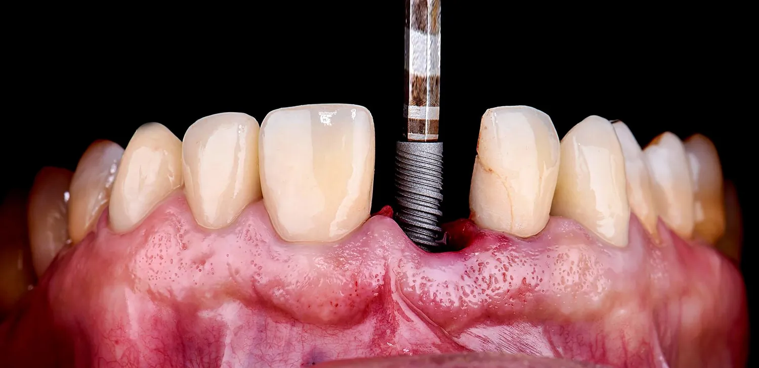
Jak wygląda proces zakupu implantów zębowych krok po kroku?
Decyzja o wszczepieniu implantów zębowych to ważny krok, który wymaga przemyślenia oraz odpowiedniego przygotowania. Proces zakupu implantów zaczyna się od konsultacji ze specjalistą, który oceni stan zdrowia jamy ustnej oraz zaproponuje najlepsze rozwiązania. Na tym etapie lekarz przeprowadza szczegółowy wywiad medyczny oraz wykonuje zdjęcia rentgenowskie lub tomografię komputerową, aby dokładnie ocenić warunki anatomiczne. Po ustaleniu planu leczenia pacjent otrzymuje informacje dotyczące kosztów oraz czasu trwania całego procesu. Następnie następuje etap wszczepienia implantu; zabieg ten zazwyczaj odbywa się w znieczuleniu miejscowym i trwa od jednej do kilku godzin, w zależności od liczby implantów. Po wszczepieniu implantu następuje okres gojenia, który może trwać od kilku tygodni do kilku miesięcy. W tym czasie pacjent powinien przestrzegać zaleceń lekarza dotyczących higieny jamy ustnej oraz diety. Po zakończeniu procesu gojenia można przystąpić do wykonania korony protetycznej, która będzie osadzona na implancie.
Jakie są koszty związane z implantami zębowymi w Polsce?
Koszt implantów zębowych w Polsce może różnić się w zależności od wielu czynników, takich jak lokalizacja kliniki, doświadczenie lekarza czy używane materiały. Średnio ceny za jeden implant wahają się od 3000 do 6000 złotych, co obejmuje zarówno sam implant, jak i zabieg jego wszczepienia. Dodatkowo należy uwzględnić koszty związane z koroną protetyczną, które mogą wynosić od 1000 do 3000 złotych za sztukę. Warto również pamiętać o dodatkowych kosztach związanych z diagnostyką, takimi jak zdjęcia rentgenowskie czy tomografia komputerowa, które mogą być niezbędne przed rozpoczęciem leczenia. Niektóre kliniki oferują atrakcyjne pakiety promocyjne lub możliwość ratalnego finansowania zabiegu, co może ułatwić pokrycie wydatków związanych z leczeniem. Warto również sprawdzić, czy dana klinika współpracuje z ubezpieczycielami zdrowotnymi; niektóre polisy mogą pokrywać część kosztów związanych z implantami.
Jak dbać o implanty zębowe po ich wszczepieniu?
Prawidłowa pielęgnacja implantów zębowych jest kluczowa dla ich długowieczności oraz zdrowia jamy ustnej. Po wszczepieniu implantu niezwykle ważne jest przestrzeganie zaleceń lekarza dotyczących higieny jamy ustnej oraz regularnych wizyt kontrolnych. Należy pamiętać o codziennym szczotkowaniu zębów co najmniej dwa razy dziennie oraz używaniu nici dentystycznej do czyszczenia przestrzeni międzyzębowych; to pomoże usunąć resztki pokarmowe i bakterie gromadzące się wokół implantu. Warto także rozważyć stosowanie płynów do płukania jamy ustnej zawierających składniki antybakteryjne, które pomogą utrzymać świeżość i zdrowie dziąseł. Pacjenci powinni unikać twardych pokarmów oraz nadmiernego obciążania implantu przez pierwsze miesiące po zabiegu; to pozwoli na prawidłowe gojenie się tkanek wokół implantu. Regularne wizyty u stomatologa są niezbędne do monitorowania stanu zdrowia jamy ustnej oraz ewentualnego wykrywania problemów na wczesnym etapie.
Jakie są najczęstsze powikłania po wszczepieniu implantów?
Choć większość zabiegów wszczepienia implantów zębowych przebiega pomyślnie, istnieje ryzyko wystąpienia pewnych powikłań, które warto znać przed podjęciem decyzji o leczeniu. Jednym z najczęstszych problemów jest infekcja w miejscu wszczepienia implantu; może ona prowadzić do bólu oraz opóźnienia procesu gojenia. Dlatego tak ważne jest przestrzeganie zasad higieny jamy ustnej oraz stosowanie się do zaleceń lekarza po zabiegu. Kolejnym możliwym powikłaniem jest niewłaściwe osadzenie implantu; jeśli nie zostanie on umieszczony w odpowiednim miejscu lub pod odpowiednim kątem, może to prowadzić do problemów z funkcjonowaniem całego układu żucia. Inne potencjalne komplikacje to uszkodzenie nerwów lub naczyń krwionośnych podczas zabiegu; takie sytuacje są jednak rzadkie i zazwyczaj wynikają z braku doświadczenia chirurga stomatologicznego.
Dlaczego warto zdecydować się na implanty zamiast tradycyjnych protez?
Wybór między implantami a tradycyjnymi protezami to istotna decyzja dla wielu pacjentów borykających się z brakującymi zębami. Implanty oferują wiele korzyści w porównaniu do protez ruchomych; przede wszystkim zapewniają one większą stabilność i komfort użytkowania. Osoby noszące protezy często skarżą się na dyskomfort związany z ich przesuwaniem się podczas jedzenia czy mówienia; w przypadku implantów te problemy praktycznie nie występują, ponieważ są one trwale osadzone w kości szczęki. Dodatkowo implanty wyglądają bardziej naturalnie i lepiej imitują prawdziwe zęby, co wpływa na estetykę uśmiechu pacjenta. Kolejną istotną zaletą jest ochrona struktury kości szczęki; brak naturalnych zębów prowadzi do zaniku kości, co może wpłynąć na kształt twarzy i ogólny wygląd pacjenta. Implanty pomagają zachować integralność kości poprzez stymulację jej wzrostu podczas normalnego użytkowania.





